کشف ۱۰۲ کپسول تریاک در معده مسافر ایرانی+ فیلم

اقتصادنیوز شنبه 04 تیر 1401 - 10:39
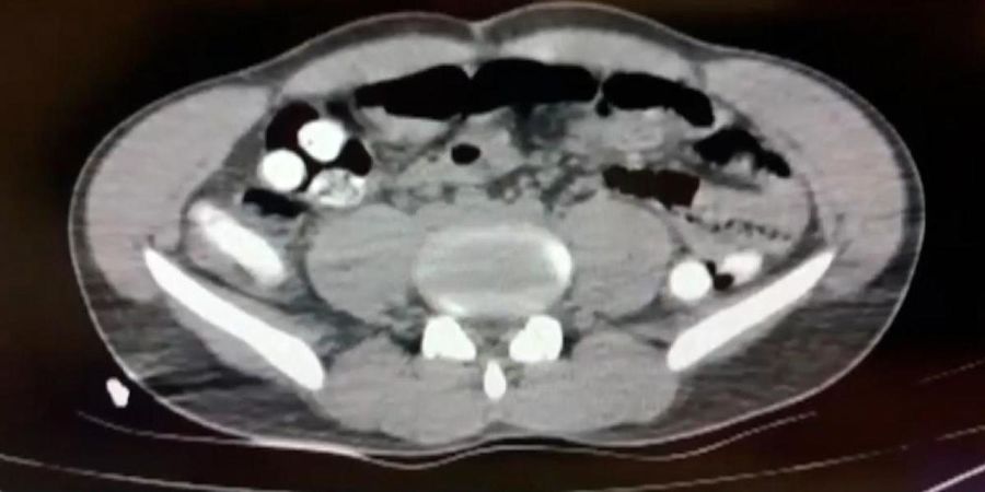
یک مسافر ایرانی در شهر آغری ترکیه به اتهام حمل مواد مخدر دستگیر شد. مهران یک کیلو و ۱۲۶ گرم مواد مخدر شامل تریاک را با قورت دادن کپسول‌ها در معده خود حمل می‌کرد.
کشف ۱۰۲ کپسول تریاک در معده مسافر ایرانی+ فیلم

منبع خبر "اقتصادنیوز" است و موتور جستجوگر خبر تیترآنلاین در قبال محتوای آن هیچ مسئولیتی ندارد. (ادامه)
با استناد به ماده ۷۴ قانون تجارت الکترونیک مصوب ۱۳۸۲/۱۰/۱۷ مجلس شورای اسلامی و با عنایت به اینکه سایت تیترآنلاین مصداق بستر مبادلات الکترونیکی متنی، صوتی و تصویری است، مسئولیت نقض حقوق تصریح شده مولفان از قبیل تکثیر، اجرا و توزیع و یا هرگونه محتوای خلاف قوانین کشور ایران بر عهده منبع خبر و کاربران است.