بیماری های شایع دهان

بیتوته دوشنبه 09 آبان 1401 - 00:33


بيماريهای دهان و دندان از شايع ترين بيماريهای عفوني انسان است. تغيير عادات و رژيم غذايي ، عدم رعايت بهداشت دهان و دندان بي توجهي نسبت به اهميت وسلامت دندانها از مهمترين علل ابتلا به بیماری های دهان است .

 

 

تب خال
به تب خال تاول تب هم می گویند اما لزوما در اثر سرما خوردگی و تب به آن مبتلا نمی شوید بلکه سرما و خوردگی تب آن را تحریک می کند .
ویروسی که تب خال به وسیله آن انتقال پیدا می کند در اثر تماس های نزدیک با افرادی که به آن مبتلا شده اند و بوسه و ظروف مشترک منتقل می شود .

 

کرم ها و پمادهایی وجود دارد که می تواند باعث بهبودی سریع شود .ارگ به صورت مکرر به این گونه زخم ها مبتلا شدید باید به پزشک مراجعه کنید .تب خال یکی از شایع ترین مشکلات دهان است .

 

بیماری های شایع دهان,بیماری های لثه,برفک

 

برفک
استوماتیت کاندیدیاز یا برفک دهان به شکل برجستگی‌های سفید خاکستری در روی مخاط دهان و زبان بروز کرده که با کندن این ضایعات مناطق خونریزی‌دهنده ایجاد می‌شود.
برفک دهان به دلیل از بین رفتن باکتری‌های مفید موجود در دهان ایجاد می‌شود و با این وضع قارچ‌های کاندیدای موجود در دهان رشد بیش از حد پیدا میکنند و بصورت برفک در دهان دیده میشوند.

 

برای درمان برفک دهان می توان از دهان شویه ها استفاده کرد . مصرف دهانشویه بصورت دو بار در روز است.
دهانشویه کلرهگزیدین، یک دهانشویه آنتی‌سپتیک است که توسط بسیاری از مطالعات بالینی و آزمایشگاهی، به عنوان یک داروی موضعی ضد باکتری و قارچی کاندیدا معرفی شده‌است.

 

بیماری های شایع دهان,بیماری های لثه,پرزهای سیاه بر روی زبان

 

پرزهای سیاه بر روی زبان
این وضعیت بدون درد زمانی اتفاق می افتد که برجستگی های کوچک بر روی زبان ایجاد می شود که در نتیجه رشد باکتری ها بر روی زبان است که باعث می شود پرزهای روی زبان سیاه رنگ شود .

 

در اثر مصرف طولانی مدت آنتی بیوتیک ممکن است این وضعیت ایجاد شود .برای درمان می توانید روی زبان را مسواک بزنید .در بخی مواقع هم ممکن است به دارو نیاز باشد. (بیشتر بخوانید: دلایل زرد شدن زبان)

 

بیماری های شایع دهان,بیماری های لثه,آفت

 

آفت
تا بحال علت به وجود آمدن این تاول های دردآور در کنار دهان پیدا نشده است .
برخی از دلایل احتمالی می تواند شامل استرس ، کمبود برخی از ویتامین ها وتغییرات هورمونی باشد .

 

آفت می تواند بر روی زبان ، اطراف گونه ها هم ایجاد شود . ممکن است برای حدود یک تا دو هفته طول بکشد تا آفت درمان شود . برای درمان آفت می توان به پزشک مراجعه کرد و از برخی دارو ها و محلول ها برای درمان می توان کمک گرفت .

 

بیماری های شایع دهان,بیماری های لثه,لوکوپلاکی

 

لوکوپلاکی
لوکوپلاکی یک ضایعهٔ سفید رنگ است که مخاط دهان را درگیر می‌کند و با کشش از بین نمی‌رود و معمولاً در کناره‌های زبان بصورت خطوط سفید دیده می‌شود.

اگر این تکه ها برای مدت طولانی وجود داشت و یا تغییرات دیگری را در دهان خود احساس کردید برای معاینه شدن می توانید به دندانپزشک مراجعه کنید.

 

بیماری های شایع دهان,بیماری های لثه,زبان جغرافیایی

زبان جغرافیایی
در این وضعیت بخش هایی از زبان آسیب می بیند و برجستگی های کوچکی بر روی زبان ایجاد می شود .با آسیب دیدن تدریجی زبان ظاهر زبان شکلی به صورت نقشه پیدا می کند .سایز و اندازه این برجستگی ها تغییر می کند .

معمولا به درمان خاصی نیاز ندارد اما در صورتی که بهبودی طولانی شد می توانید به پزشک مراجعه کنید از دارهای ضد درد و ضد التهاب کمک بگیرید .

 

بیماری های شایع دهان,بیماری های لثه,سرطان دهان

 

سرطان دهان
در مواقعی زخم زبان برطرف نمی شود .احساس بی حسی در صورت ، گونه ها و گردن وجود دارد .مشکل در بلع ، جویدن و صحبت کردن ایجاد می شود . سرطان دهان چندین علامت دارد .

 

سرطان دهان می تواند در اثر سیگار کشیدن و استفاده از تنباکو، نوشیدنی الکلی و در معرض نور آفتاب قرار گرفتن ایجاد می شود .

 

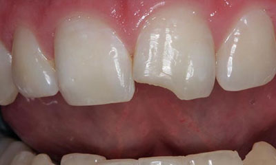
بیماری های شایع دهان,بیماری های لثه,خرد شدن دندان ها

 

خرد شدن دندان ها
خوردن برخی از آب نبات ها ، یخ و یا غذاهای سرد و گرم می تواند باعث شکسته شدن دندان ها و یا ترک خوردن دندان ها می شود.تراشه های کوچک بر روی دندان ها به مرور باعث شکسته شدن دندان ها می شود .

شما می توانید به دندان پزشک مراجعه کنید تا مشکلات دندان برطرف شود و در نهایت از بروز مشکلات دهان جلوگیری شود .

 

بیماری های شایع دهان,بیماری های لثه,خالکوبی آمالگام

 

خالکوبی آمالگام
آیا شما تا به حال بعد از کار دندان پزشکی، لکه های آبی-خاکستری در بخش نرم دهانتان (روی لثه یا داخل گونه) دیده اید؟
این لکه ها به نام خالکوبی آمالگام خوانده می شود. آمالگام ماده ای است که برای پرکردن دندان استفاده می شود. نقره موجود در ماده آمالگام، وارد بافت نرم دهانی می شود و به نظر می رسد که یک خالکوبی در دهان ایجاد شده است.

 

این خالکوبی خطری ندارد، اما اگر لکه آبی- خاکستری زیاد شود و تغییر رنگ دهد، دیگر خالکوبی آمالگام نیست و بهتر است نزد دندانپزشک بروید.

 

بیماری های شایع دهان,بیماری های لثه,لوکوپلاکی

 

بیماری های لثه
اگر لثه قرمز و متورم باشد و خونریزی کند، نشان دهنده التهاب لثه است که باعث شل شدن دندان ها و افتادن آنها می شود.
التهاب لثه می تواند در اثر بیماری، مصرف دارو، پلاک دندانی و مشکلات دیگر ایجاد شود. استفاده مرتب از نخ دندان و مسواک زدن و همین طور مراجعه منظم به دندانپزشک، باعث جلوگیری از این بیماری لثه ای می شود. التهاب لثه شدید، نیاز به درمان آنتی بیوتیکی دارد.

 

بیماری های شایع دهان,بیماری های لثه,سوختگی آسپرین

 

سوختگی آسپرین
برخی افراد موقع دندان‌درد، قرص آسپیرین را روی آن قرار می دهند که این کار غلط است، زیرا اسید موجود در آسپیرین، بافت نرم لثه یا گونه را می سوزاند و زخمی کند. پس برای آرام کردن درد دندان، بهتر است آسپیرین را ببلعید. سوختگی های ساده بعد از دو هفته بهبود می یابند.

 

بیماری های شایع دهان,بیماری های لثه,بوی بد دهان

 

بوی بد دهان
مسواک نزدن باعث می شود که تکه های غذا در بین دندان ها گیر کند و باعث رشد باکتری و ایجاد بوی بد دهان شود.
بوی بد یا مزه بد دائمی دهان ممکن است به علت تنفس از راه دهان (گرفتگی بینی)، خشکی دهان، عفونت گلو، بیماری لثه و دندان، ناراحتی معده و یا دیابت باشد.

 

شما می توانید با استفاده از مسواک زدن دندان و زبان (زبان را خیلی آرام مسواک بزنید). نوشیدن مرتب آب و دوری از مصرف غذاهای بودار، با بوی بد دهان خود مبارزه کنید.
منبع:salamatnews.com

منبع خبر "بیتوته" است و موتور جستجوگر خبر تیترآنلاین در قبال محتوای آن هیچ مسئولیتی ندارد. (ادامه)
با استناد به ماده ۷۴ قانون تجارت الکترونیک مصوب ۱۳۸۲/۱۰/۱۷ مجلس شورای اسلامی و با عنایت به اینکه سایت تیترآنلاین مصداق بستر مبادلات الکترونیکی متنی، صوتی و تصویری است، مسئولیت نقض حقوق تصریح شده مولفان از قبیل تکثیر، اجرا و توزیع و یا هرگونه محتوای خلاف قوانین کشور ایران بر عهده منبع خبر و کاربران است.